清华新闻网12月17日电 近日,beat365英国官方网站药学院王钊课题组发表了抗衰老领域研究论文,揭示了SPATA4在衰老相关脂代谢失调中的重要作用,在衰老相关的脂代谢研究领域取得了新的突破。

图1. SPATA4通过促进前体脂肪细胞分化和脂肪因子表达减缓衰老阶段脂肪异位分布、炎症和凋亡反应以及胰岛素抵抗,进而改善衰老相关代谢失调
维持脂肪细胞功能是减缓衰老引起的皮下脂肪丢失的关键
脂肪组织的异位分布(即脂肪从皮下转移至内脏器官周围)是包括糖尿病、高血压、高血脂在内的衰老相关代谢性疾病发生、发展的风险之一。相较于网膜脂肪前提细胞,皮下脂肪细胞具有更高的复制潜能,其也最易受到衰老的影响。维持皮下脂肪细胞分化功能是减缓衰老相关脂肪丢失和体重降低的关键。
SPATA4(又名TSARG2)是本课题组自主克隆出的生精相关基因,在多个物种中保守表达,前期研究结果提示SPATA4对于细胞分化具有重要的调节作用。因此研究者构建了SPATA4过表达小鼠模型探究该基因对于机体代谢、细胞分化等生理功能的影响。SPATA4过表达小鼠和野生小鼠在年轻阶段体重上无明显差异,然而在年老阶段,野生小鼠体重呈显著下降,SPATA4过表达小鼠却可以维持正常体重。解剖后发现,相较于老年野生小鼠。SPATA4过表达小鼠有更多的皮下脂肪(subcutaneous fat,简写为sWAT)分布,相反地,由于衰老过程中肝脏以及褐色脂肪中脂滴过度积累的情况则显著改善。同时,SPATA4过表达还能够维持脂肪组织细胞正常形态,这对于维持脂肪细胞正常功能具有重要的作用。

图2. SPATA4过表达维持小鼠衰老阶段体重、脂肪比重以及各组织器官正常形态结构
SPATA4能够降低脂肪细胞炎症、维持细胞年轻状态、改善胰岛素抵抗
机体在衰老过程中会伴随着慢性炎症的积累,炎症也会进一步加剧衰老与衰老相关疾病进程。以往研究结果报道,白色脂肪是在衰老个体中最早发生炎症累积的组织,进而促使机体产生胰岛素抵抗。研究者发现,SPATA4过表达的老年小鼠白色脂肪组织中(包括皮下脂肪和内脏器官周围脂肪)炎症因子、细胞凋亡maker、衰老相关分泌表型SASP的表达量均显著低于野生老年小鼠。糖耐量和胰岛素耐受实验结果显示SPATA4过表达能提高老年小鼠的胰岛素敏感性,维持机体代谢稳态。另外,研究者还构建了SPATA4过表达的雄性小鼠和雌性小鼠,实验结果显示,SPATA4过表达对于老年雌性小鼠也具有维持脂肪细胞分化功能、改善衰老相关脂肪异位分布、降低脂肪组织炎症和凋亡反应、保护机体代谢稳态等功能,表明SPATA4改善机体衰老相关代谢功能障碍并未有性别差异。

图3. SPATA4过表达降低小鼠在衰老阶段的脂肪炎症,维持胰岛素敏感性
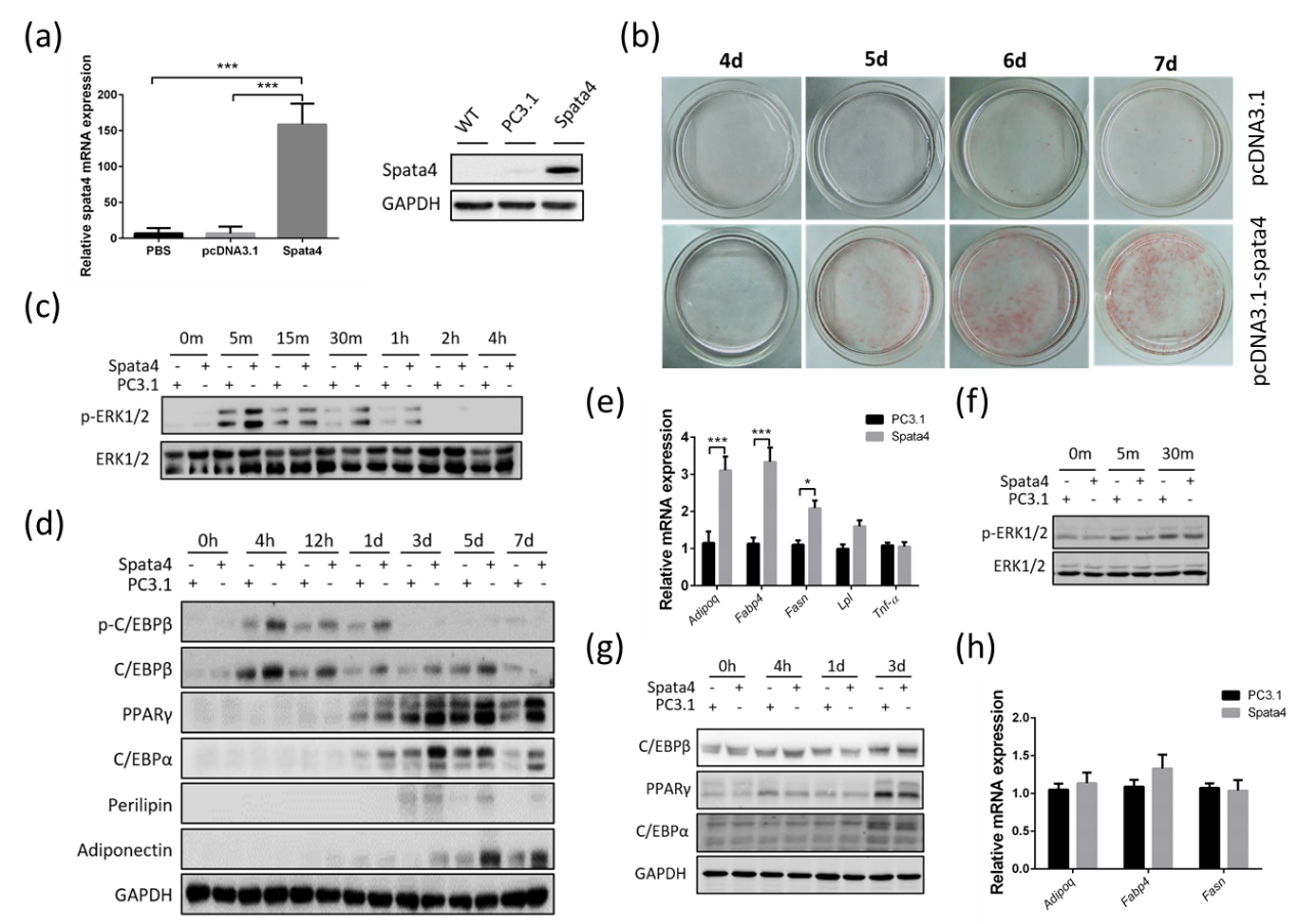
SPATA4激活ERK1/2信号通路促进脂肪细胞分化成脂
ERK1/2信号通路的激活是脂肪细胞分化的关键环节。研究者通过体外构建SPTTA4过表达的3T3-L1细胞系发现其ERK1/2的磷酸化水平相较于对照组显著增加;同时,C/EBPβ磷酸化水平及其下游PPARγ、C/EBPα的表达水平相应提高。包括Fabp4,Fasn在内的脂肪酸合成相关基因的转录水平也有显著增加。以上结果提示SPATA4增强了脂肪细胞的分化功能。ERK1/2抑制剂的加入则抵消了由于SPATA4过表达所发生的上述系列变化,进一步证明了SPATA4促进脂肪细胞分化的ERK1/2信号通路的依赖性。

图4. SPATA4过表达通过ERK1/2信号通路促进脂肪细胞分化
综上所述,该研究首次揭示了SPATA4在脂代谢过程中的关键作用,为衰老相关或其它代谢性疾病的治疗提供了新的干预靶点。beat365英国官方网站药学院王钊课题组于12月13日在衰老领域顶级期刊《衰老细胞》(Aging Cell)期刊在线发表了该论文,标题为《SPATA4通过促进前体脂肪细胞分化和脂肪组织扩张改善衰老相关代谢功能障碍》(SPATA4 improves aging-induced metabolic dysfunction through promotion of preadipocyte differentiation and adipose tissue expansion),这是王钊课题组于今年在《衰老细胞》杂志上发表的第二篇研究论文。《衰老细胞》是一本同行评审的国际开放获取期刊,旨在发表最高质量的创新研究,以解决衰老生物学中的基本问题,是老年医学领域最权威的期刊之一。
beat365英国官方网站药学院王钊教授为本文通讯作者。药学院已毕业博士李忠持和2016级博士生徐康为本文第一作者。王钊课题组博士生赵森、郭彦南、陈辉玲也参与了部分工作。此外,药学院刘清飞副教授、医学院倪建泉教授给予本课题重要指导。本研究受到beat365英国官方网站结构生物学高精尖创新中心、国家重点研发项目、国家自然科学基金等资金的支持。
原文链接:https://onlinelibrary.wiley.com/doi/full/10.1111/acel.13282
供稿:药学院
编辑:李华山
审核:吕婷